
去年の台風15号あたりから
インターネットが繋がらず

年末までなかなか復旧できず
11月頃に
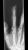
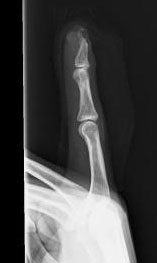
右人差し指が事故で
第一関節が潰れて抜けてしまった
(´;ω;`)

痛さより、ショックの方が・・・
かなりこたえた
もう、考えることが出来ず
絶望状態。。
骨まで潰れて
もうダメかと思いました
この日に限って
整形外科医の人たちは
学会によりいなかったのも
不運でしたが
それでも、
何とか診てくれた先生が
良かった


潰れて汚れきった第一関節を
綺麗に洗浄して
縫い合わせてくれたので
指を詰めた状態でなく
かろうじて第一関節が
繋がっている感じでした。
でも、
この人差し指が、
この先
どのような形になるかは
予想もつかない状態で・・
もうほとんど回復は
期待できなかったけど・・
このまま落ち込んだら
完全に鬱になり生きる希望もなくなるので
なんとか歯を食いしばって
正気を保って頑張りました。
病院通いも
最近、ちっとも入らなくなった
カフェで過ごしたり

学生時代に
よく食べていた

立ち食いそば屋に入って
原点に戻った気持ちになったりして

約3ヶ月間、
回復に専念しました。
(¯―¯٥)
そして
やっと、こうして
記事が書けるところまで
回復
![]()
本当に出会った先生が良かったおかげです。
感謝しても感謝しきれない。
出会いは本当に大事だなと
改めて思いました。
これで社会復帰と言いたいが
世の中は”コロナウィルス”です。

心臓病で2回も手術した私は
外に出るのが恐ろしくてたまりません。
肺に水が溜まって苦しい思いをしたので
尚更です、2度と嫌です。
ほんと生きていくのが辛い世の中ですが
皆さん希望をもって生きましょう![]()
私も、もう一度
希望を取り戻して生きたいと思います![]()










